完全
予約制
箕面船場阪大前駅
徒歩3分
インプラント
| カテゴリー | オールオン4 |
|---|---|
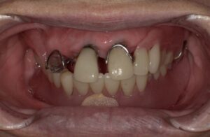
| 症例名 | 下アゴの骨が少なくて入れ歯を入れると安定せず、歯ぐきに痛みもある方に、インプラントをしようしたオールオン4で固定式の歯を回復した症例 |
Before

After

※表は左右にスクロールして確認することができます。
| 年齢 | 75 | 性別 | 女性 | 住所 (市区町村) |
箕面市 |
|---|---|---|---|---|---|
| 主訴/ニーズ | 長年使用している入れ歯が全然合わない。他院では、骨が痩せていて安定しないので、仕方がないと言われた。食事がきちんと噛めなくて毎日楽しくないので、美味しいものを食べれるようになって余生を楽しみたい。 |
||||
| 治療回数 | 5~6 回 | 治療期間 | 6か月 | ||
| 治療のリスク |
外科処置が必要になります 骨とインプラントが結合しない可能性があります 喫煙者の方や糖尿病の既往歴のある方は、治癒が悪い場合があります。 骨が十分に再生しない場合があります インプラント周囲炎になる可能性があります3 状態の悪い歯は治療を進めたことで抜歯になる可能性もあります ご希望通りにならない場合もあります |
||||
| 想定される 副作用 |
術後に出血のリスクがあります 術後に腫れたり、内出血班が出る可能性があります 術後に痛みが出る可能性があります |
||||
| 治療内容 |
75歳の女性の方で、長年、上下の入れ歯を使用していたが、入れ歯が全く安定せず、不快感を感じていた。 食事のたびに、歯ぐきに痛みを感じていたため、食べ物はハサミやミキサーで細かくするか、柔らかい食べ物しか食べることができず、満足のいく食事をすることができないことにとてもコンプレックスを感じていた。 食べ物に制限があるため、外食することも億劫となり、友人に食事に誘われても、断ることが多くなっていた。 体重は減り、気持ちが内気になっていたが、このままでは余生を楽しめないと思い始めました。 なんとか、美味しく食事をできる方法はないかと、インターネットで精密入れ歯やインプラント治療について調べたところ、当院が入れ歯やインプラント治療を専門としていること、そして当院の治療コンセプトに共感を感じたとのことで、藁をもすがる思いで来院されました。
診査・診断まず初めに、 >入れ歯が安定しない原因 >入れ歯で食事をすると歯ぐきが痛む原因(特に下アゴ) を精密検査しました。 下アゴに関しては、 >長年、不安定な入れ歯を装着していたこと >歯周病が酷くて歯を抜歯をしていたこと が原因で、下アゴの骨が大きく吸収しており、入れ歯の安定に必要十分な量の歯ぐきを失っている状態でした。 さらに、レントゲン検査より、下アゴに交通している大きな神経が入れ歯を支える歯ぐきの部分に露出しているような状態で、食事をするたびに入れ歯によって、神経が露出している歯ぐきが圧迫されることで、痛みを感じていることが判明しました。
通常であれば、下アゴに通っている神経は、骨によって守られており、入れ歯を支える歯ぐきの部分には露出することはありません。 この方の場合は、著しく骨が吸収してしまったことで、このように神経が歯ぐきの真下に露出してしまっていました。
治療方針お口の状況を審査・診断し、
治療方針① 精密な入れ歯を製作する このように歯ぐきの下に神経が露出しているような場合は、骨の再生治療や元通りに戻すことは不可能なため、入れ歯治療であれば、神経が露出している部分を避けたような設計の入れ歯を製作する必要があります。しかし、露出した部分を避けるように入れ歯を設計すると、入れ歯の安定を損ねてしまう形態となってしまうため、患者様の主訴である、入れ歯を安定させることと痛みのない入れ歯の両方を兼ね備えたものを製作することができないと判断しました。 治療方針② インプラント治療による固定式装置を製作する もう一つの方法として、インプラント治療を考えました。 インプラント治療は、アゴの骨の中にチタン製のインプラントを埋入する治療法になりますので、骨の状態がとても重要になります。 この患者様においては、重度に骨が吸収しており、前歯の領域に関してはインプラント治療が可能ですが、奥歯の領域に関しては下アゴの神経が近接しており、インプラント治療ができない状態でした。 CTや3次元シュミレーションシステムを用いると、オールオン4治療であれば、神経を避けてインプラント治療を行うことができることがわかりました。
患者様と十分相談のうえ、審美性、咀嚼能力の向上性が期待できる、オールオン4を選択されました。
治療経過
①最終ゴールをイメージした入れ歯を製作する 旧入れ歯は長期間使用してきた結果、噛み合わせや見た目が悪くなっているため、一度理想的な噛み合わせや適正な歯の位置の確認を目的に、治療用入れ歯を製作します。 ②インプラント体埋入の3次元シュミレーションを行う オールオン4治療では、インプラントの埋入位置が重要要素になります。 そのため、デジタル技術を活用し、寸分の狂いなく手術を行うための綿密な計画を行います。 ③フラップレスインプラント埋入手術+即日仮歯の装着 インプラント手術は、メスで切開を加えず、わずか5mm程度の小さな穴から、インプラントを埋入していきました。低侵襲で行うことで、痛みや腫れはほとんど出現せず、患者様の負担を軽減できることが、当院のインプラント治療の大きなメリットです。 さらに、当院の最新のデジタル技術では、インプラント手術当日に、仮歯まで装着ができるため、インプラント手術当日から、劇的にお口の環境が変わります。 仮歯を装着できることで、ある程度の食事をすることはできますし、常に歯がある状態で治療を進めることができるので、日常生活での見た目の心配もありません。 ④最終仮歯の装着 手術当日に装着している仮歯は、一時的に製作した仮歯であるため、インプラント手術から約2~3ヶ月後に、さらに審美的・機能的に最終のセラミックの上部構造に近しい仮歯を製作します。 もう一度、噛み合わせや、インプラント周囲のお掃除のしやすさ、見た目などを問題がないことを確認し、最終の上部構造へと移行していきます。 この工程がインプラントを長持ちさせるためにとても重要になってきます。 インプラントが長持ちするための条件として、 ・きちんとお掃除のできる構造であること ・噛み合わせに問題がないこと があげられるため、この工程で行う確認作業が、インプラントの成功率を大きく左右するといっても過言ではありません。 ⑤最終上部構造製作(ジルコニア) 仮歯で問題がないことを確認したうえで、最終の上部構造の製作に移行します。 最終上部構造は、強度が担保された、金属の裏打ちのあるジルコニアを使用して製作を行います。 ⑥メインテナンス インプラント治療が終了したら、それで終わりではありません。 インプラントが長持ちするためには、終了時から行うメインテナンスが重要となります。 約3~4ヶ月に一度来院していただき、歯科医院で行うプロフェッショナルケアにて、インプラント周囲のコントロールを行います。 また、定期的に噛み合わせの確認も行い、インプラントへの咬合負担のチェックも欠かせず行います。
患者様のご様子
患者様は、当初はインプラント治療に消極的でした、 その理由としては、 とのことでしたが、当院で治療の説明を受けた際に、 低侵襲で行うインプラント外科治療により、痛みや腫れは少なく、 今では、積極的に外出するようになり、 また、当院でのインプラント治療が大変満足されたからか、 |
||||
| 費用 | 【オールオン4】 260万円(税込)~ ※インプラント体+上部構造(ジルコニア)全て込み 【オールオン6】 300万円(税込)~ ※インプラント体+上部構造(ジルコニア)全て込み |
||||





