完全
予約制
箕面船場阪大前駅
徒歩3分
TASUKU DENTAL OFFICEのお知らせ・ブログ
- TOP >
- TASUKU DENTAL OFFICEのお知らせ・ブログ >
- 歯周病で歯がグラグラで噛みにくいことがお悩みの患者様に対するインプラント治療
歯周病で歯がグラグラで噛みにくいことがお悩みの患者様に対するインプラント治療

【治療の経緯】
他院でセラミックのブリッジを作ったが、噛み合わせが合わず、被せ物もすぐに外れてしまうと悩まれていた。
土台となる歯も歯周病でグラグラで、食事がきちんとできないことをストレスに感じていると訴えられていた。
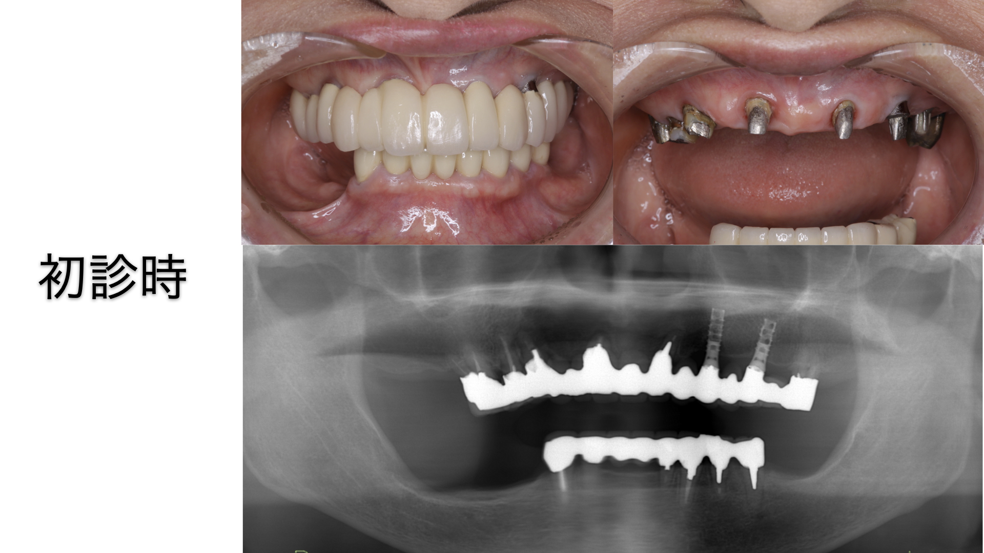
【初診時のお口の写真とレントゲン】
白い歯は装着されているが、歯の形も違和感があり、歯間ブラシも通らず、お掃除もできないセラミックが装着されていた。
レントゲン写真からは、ブリッジの土台となる歯の本数は少なく、さらに、重度の歯周病になっていることがわかった。
【治療の方針】
ブリッジの土台となっていた歯は、歯周病により保存することが難しく、抜歯すると入れ歯かインプラント治療になることを説明。
患者様は、「大きな入れ歯は嫌だ」「自分の歯のように噛みたい」とのことで、インプラント治療を希望された。

【治療の経過】
①上顎に同時に4本のインプラントを埋入しました。
治療中の負担を軽減するため、静脈内鎮静法を併用しています。
>>>>>>静脈内鎮静法についての詳細はこちらから
②骨が少ない部分には「骨の再生治療」を同時に施術しました。
>>>>>>骨の再生治療についての詳細はこちらから
③インプラントへの感染のリスクを下げ、成功率を向上させるために、当院では基本的には2回法のインプラント治療で進めるようにしています。1回目の手術では、歯茎をきれいに縫合します。
④治療期間中は、見た目や食事に困らないように、できる限り仮歯を製作するようにしています。当院では、患者様の負担が少なく治療中の生活の質も落とさないように、様々な工夫をしています。

【術後の経過】
インプラント1週間後の状態です。
歯ぐきの腫れは、2~3日をピークに徐々に治まっていきます。
個人差はありますが、大きな痛みも出にくいです。痛み止めを飲まなくても大丈夫な方もおられます。痛みがある場合は、痛み止めを飲むとコントロールできる程度になります。
内出血斑が生じる場合が多いですが、10~14日で消失しますのでご安心ください。
>>>>>>インプラント術後の痛みや腫れについて詳細はこちらから
術後2週間で抜糸を行い、その後はインプラントと骨が結合するまで、歯ぐきの治りを待ちます。

【2回目の手術】
上顎であれば、1回目のインプラント手術から約4ヶ月後に2回目の手術を行います。この時に、インプラント周囲炎になりにくいようにするために、歯ぐきの増強処置を行います。
2回目の手術は、1回目の手術と比較し侵襲は小さいので、患者様の負担は少ないです。ほとんどの方が、静脈内鎮静をしなくても大丈夫な程度です。
2回目の処置後も仮歯は装着するので、見た目や食事に困らないようにできます。

【術前後の比較がこちら】
噛み合わせ、見た目、お掃除のしやすさは全て改善されました。
何でもしっかりと噛めるようになったと、満足されていました。
また、見た目もきれいになったことで、アンチエイジングの効果もあったと思います。
【治療の詳細】
・年齢 70歳
・主訴 しっかりと噛めるようになりたい
・治療内容 インプラント治療、骨の再生治療、セラミック治療
・治療費用 260万円(税別)
インプラント4本、セラミック8本、骨の再生治療、静脈内鎮静
・リスク
外科処置が必要になります
骨とインプラントが結合しない可能性があります
喫煙者の方や糖尿病の既往歴のある方は、治癒が悪い場合があります。
骨が十分に再生しない場合があります
状態の悪い歯は治療を進めたことで抜歯になる可能性もあります
ご希望通りにならない場合もあります
口腔内の状態に応じて、治療計画が途中で変更になる場合があります
関連記事
監修者情報院長 筒井 佑
日本国内でもトップレベルの歯周治療、インプラント治療、噛み合わせ治療など総合治療を専門とした貴和会歯科診療所に勤務し、佐々木猛先生をはじめとする著名な先生方のご指導のもとで、10年間研鑽を積んでまいりました。全ての分野においてより専門性の高いレベルで臨床に取り組み、1本の天然歯を残す治療から全顎的な治療に至るまで数多くの難症例にも対応いたします。
